北山デンタルクリニック
きたやま・やすのり/1990年北海道大学歯学部卒業。94年から、かえで歯科院長。2001年北山デンタルクリニックを開院。
患者の本音を丁寧にヒアリング。
インプラントや義歯治療を提案
義歯とインプラント、2つの治療を提案
「北山デンタルクリニック」は、2001年の開院以来、自費診療に特化した治療を提供してきた。義歯・インプラント治療を軸に実績を積み重ねている。26年で25周年を迎える。
患者から選ばれる理由の一つが、歯を失った際の治療選択肢の幅広さにある。一般的な歯科医院では、歯科医師が得意とする義歯かインプラントのいずれかに治療が限定される場合も少なくない。
その点、北山康則理事長は義歯・インプラントの双方に豊富な経験を持ち、患者一人ひとりに応じた治療の提案が可能だ。
インプラント治療では、年間埋入本数が約550本、開院以来の累計は5000本を超える(25年12月31日時点)。3D画像による精密検査と診断、コンピューターシミュレーションを行い、頬骨の3D模型を作製してドリルの方向や深さを制御するサージカルガイドも活用。安全性と精度を追求している。
一方、義歯治療で実績を積み重ねているのが総義歯治療法「ドクター・カワラダ・デンチャー・システム(カワラダ・デンチャー)」だ。
「吸着力が強く、装着時の安定性や適合性に十分配慮して設計された総義歯です。日常生活での使用を想定した快適な装着感を実現しています。粘着性の高い食品を口にしても浮き上がりにくく、義歯特有の異物感も抑えられている。就寝時に装着したままでも違和感が少ないのも特長です」
保険診療が主流だった義歯治療において、数十年前から自由診療にも視野を広げ、同治療法を考案した川原田幸三歯科医師の直接指導を受けて技術を習得した。25年12月31日時点で症例数は500例を超えている。
義歯製作は、専門会社「Dental LAB IDT」(本社・東京都、岩城謙二社長)が運営する「BPSエステティックデンチャー」と連携。歯茎や歯の色、表情に合わせたオーダーメードで、自然な見た目を追求する。
人工歯は歯科技工士が製作し、歯科医師と密に連携しながら治療を進めている。
この体制により、症例によっては治療期間の短縮につながる場合もある。仮歯は治療初日に作製するため、治療の過程で歯がない状態になる期間をできる限り少なくしているという。
コンビネーション 治療で難症例に対応
同院が義歯治療に注力している背景には、「入れ歯はかめないもの」といった一般的なイメージに対し、患者一人ひとりの口腔内の状態や生活背景に応じた治療の選択肢があることを丁寧に伝えたいという考えがある。
北山理事長は「義歯は〝仕方なく選ぶ治療〟という位置づけではありません。義歯とインプラントにはそれぞれ特性があり、患者さんの状態や希望を踏まえた上で、適した治療方法を検討することが重要です」と話す。
こうした実績を背景に提供しているのが、上顎をカワラダ・デンチャー、下顎をインプラントにする「コンビネーション治療」だ。総インプラントに比べて費用を抑えられることから、検討する患者も多いという。
義歯とインプラント、どちらか一方に偏らず、それぞれの長所を生かす――。北山デンタルクリニックが提案するコンビネーション治療は、まさに同院の治療哲学を象徴する選択肢と言える。
また、この治療法は、さまざまな咬合状態に対して検討される。不正咬合の指標である「アングルの分類」では、下顎前突(受け口)などが最も重度な症例のⅢ級となる。
「当院では下顎前突を含む不正咬合の相談も多く寄せられていますが、コンビネーション治療で対応しています。不正咬合は若い世代に多いですが、さまざまな年代で治療が可能です」
「そもそも義歯とインプラントは、どちらが優れているかという話ではありません。その人にとって何が適しているかを考えることが大切だと思っています。口腔内の状態はもちろん、年齢や仕事、生活環境、通院頻度、費用、将来的なメンテナンスまで含めて検討する必要があります」
そのため同院では、初回カウンセリングの段階で複数の治療プランを提示し、それぞれの特徴や留意点について丁寧に説明している。治療内容を理解した上で、患者自身が納得して選択できる体制づくりを重視しているという。
「複数の治療法に対応できるよう日々研さんを重ねていますが、最も大切にしているのがカウンセリングです。患者さんの思いや不安をどれだけ引き出せるかが、治療の進め方に大きく関わってくると考えています。『歯の状態が気になっている』『入れ歯が合わない』『できるだけ抜歯は避けたい』『治療を繰り返している』など、さまざまな悩みを抱えながらも、診察の場では本音を十分に伝えられない方も少なくありません」
説明を前に遠慮してしまったり、理解しきれないまま話を進めてしまったりすることで、治療後に「本当にこれでよかったのだろうか」と感じるケースもあるという。
「患者さん自身が納得できていない状態では、治療が一区切りついたとは言えないと考えています」
北山理事長は、こうした「本音を言いづらい構造」そのものが、歯科医療全体の課題の一つだと指摘する。
「歯科治療は専門用語が多く、患者さんが理解したつもりになってしまいやすい分野です。義歯にするか、インプラントにするか。あるいは治療そのものをどうするか。迷いを抱えたまま、十分に整理されない状態で治療が進んでしまうこともあります。だからこそ、迷いや不安を含めて話してもらう時間を大切にしています」
「本当に治って良かった」がキーワード
だからこそ同院では、治療に入る前の段階で十分な時間を確保し、ヒアリングを行っている。患者が「なぜ困っているのか」「どこまで改善を希望しているのか」を言葉にすることを重視し、その内容を踏まえて治療方針を検討する。
「当院では『本当に治ってよかったと思える治療』を目指しています。『治療結果に十分納得できていない』『インプラントと義歯で迷っている』『この選択で良かったのか不安が残っている』。そうした気持ちを、遠慮せずに聞かせてほしいと思っています」
院内は、患者が落ち着いて相談できるよう、明るい雰囲気とプライバシーに配慮した個室を多く備えている。
遠方から通院する患者や、仕事などで通院時間の確保が難しい患者に向けては、「短期集中治療」という選択肢も用意している。事前に治療計画を立てたうえで、症例に応じて複数回分の治療をまとめることで、通院回数や治療期間の調整を図っている。
「症例によっては、治療当日から食事が可能となる場合もありますが、可否については口腔内の状態や治療内容を踏まえて判断しています。インプラント治療における食事制限や、義歯治療における仮歯の使用についても、個々の状況に応じて対応しています」
設備と体制で、納得のいく治療を目指す
開院以来、一貫して大切にしてきたのが「やさしさ」と「ていねいさ」だという。施術時には、症例や希望に応じて静脈内鎮静法(IVS)を採用し、患者の緊張や不安に配慮する。表面麻酔や極細針の使用、麻酔科専門医の立ち会いなど、安全面にも留意した体制を整えている。
院内には、症例に応じて活用するための医療機器を導入している。マイクロスコープ(歯科用顕微鏡)は、視野を拡大しながら処置を行う際に用いられる。
3D‐CTは、顎の骨の形状や状態を把握するための診査・診断に活用している。
また、超音波骨切削器具は、治療内容に応じて使用される器具の一つで、患者の負担に配慮した治療を行うために取り入れている。
「昨春から、ホワイトニングやクリーニングなどのデンタルエステにも注力しています。歯科医院向けフランチャイズを展開する『ホワイトエッセンス』(本社・東京都)と契約し、技術・機器・ノウハウを導入しました。完全個室の専用ルームで、アロマとヒーリングミュージックに包まれながら施術を受けられます」
同院では、初回カウンセリングやCT撮影、診断、見積もりは無料で実施している。WEB予約は24時間対応し、LINEでの相談も受け付けている。
「患者さん一人ひとりと誠実に向き合ってきた積み重ねが、今につながっていると感じています。特別なことではなく、当たり前のことを丁寧に続けてきただけですが、治療が終わったあとに『きちんと相談できた』『納得して選べた』と感じてもらえるかどうか。そこまで含めて、私は〝治療〟だと考えています」

北山理事長はじめスタッフが自費治療を提供

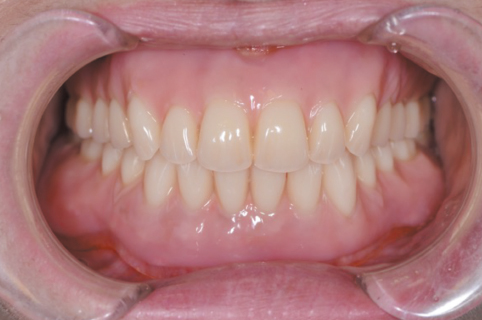
装着初日から咀嚼が可能になるケースもある「ドクター・カワラダ・デンチャー・システム」

オーダーメードにより、ナチュラルな見た目に仕上がる