ほっかいどうデータベース

札幌徳洲会病院

蘆田 知史 特任副院長
あしだ・としふみ/1983年旭川医科大学医学部卒業。旭川医科大学医学部附属病院、札幌東徳洲会病院勤務を経て、2014年札幌徳洲会病院副院長に就任。医学博士。

〝チーム〟でIBDを治療。病状に応じ適切な薬を選択

 IBDとは下痢や血便が続く原因不明の慢性疾患で、「潰瘍性大腸炎」と「クローン病」の2つに分類される。腸内細菌に対して免疫システムが過剰に反応していることが要因の1つとされ、症状の改善と悪化を繰り返すのが特徴だ。

「札幌徳洲会病院」では、全国でも珍しいIBD専門の医療部門を設置。蘆田知史特任副院長が統括している。

「下痢が1カ月以上毎日続けばIBDの可能性が高いです。成長期の場合は下痢によりタンパク質が排出されるため、必要な栄養が吸収されず、身長が伸びにくく体重も増加しにくいのが特徴です。国が指定する難病のため、医療費助成の対象にもなります」

 蘆田特任副院長は、IBDを専門に旭川医大病院准教授時代から30年以上にわたって研究と治療を続けてきた。薬の効果予測や原因因子、免疫力との関わりなどの研究や患者の治療、生活支援まで注力している。

「通常の生活はできても、貧血などで生活の質が低下する症例もある。厚生労働省のガイドラインに沿った適切な治療が不可欠なため、〝なんとなくお腹がいつもと違う〟と感じたら積極的に受診してほしい」と呼びかける。

 検査は血液検査やレントゲンのほか、エコーやMRI、CTなどを駆使する。徳洲会グループでは、MRIを使った小腸造影手法を開発し、内視鏡やバリウムを使わない検査も実施。蘆田特任副院長を筆頭に、看護師や管理栄養士といった〝チーム〟で治療にあたっている。

「IBDは単に消化器領域にとどまる疾患ではない。近年の研究で、腎臓や胆道に合併症を引き起こす傾向があることも確認されています。当院は総合病院として、複数の診療科が連携している治療体制を整えています」

 治療は投薬がメインで、2020年以降は複数の治療薬が保険適用となっている。潰瘍性大腸炎の場合は、およそ90%の患者が入院の必要はなく、治療薬の服用によって日常的な生活ができるという。

 近年、こうした治療薬の選択肢が広がったことで、医師の〝診断能力〟がより重要とされている。患者の状態や進行具合などを見極め、適切に治療薬を選ぶことが治療成績につながるからだ。

「内視鏡の所見や臨床症状、経過観察により慎重に治療薬を選択しています。また、23年に認可された治療薬により治療成績は向上しています。近い将来、IBDの原因解明が進むことが期待されます」

 

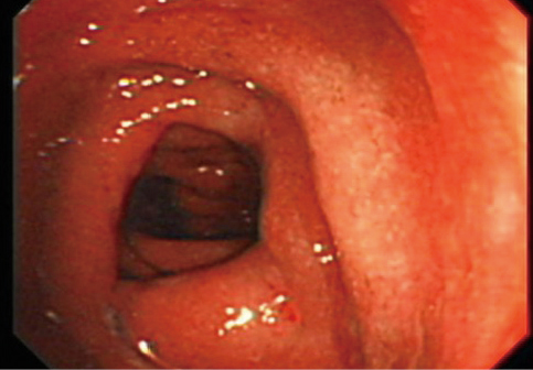
潰瘍性大腸炎の治療前
厚別区を中心に地域医療の一端を担う